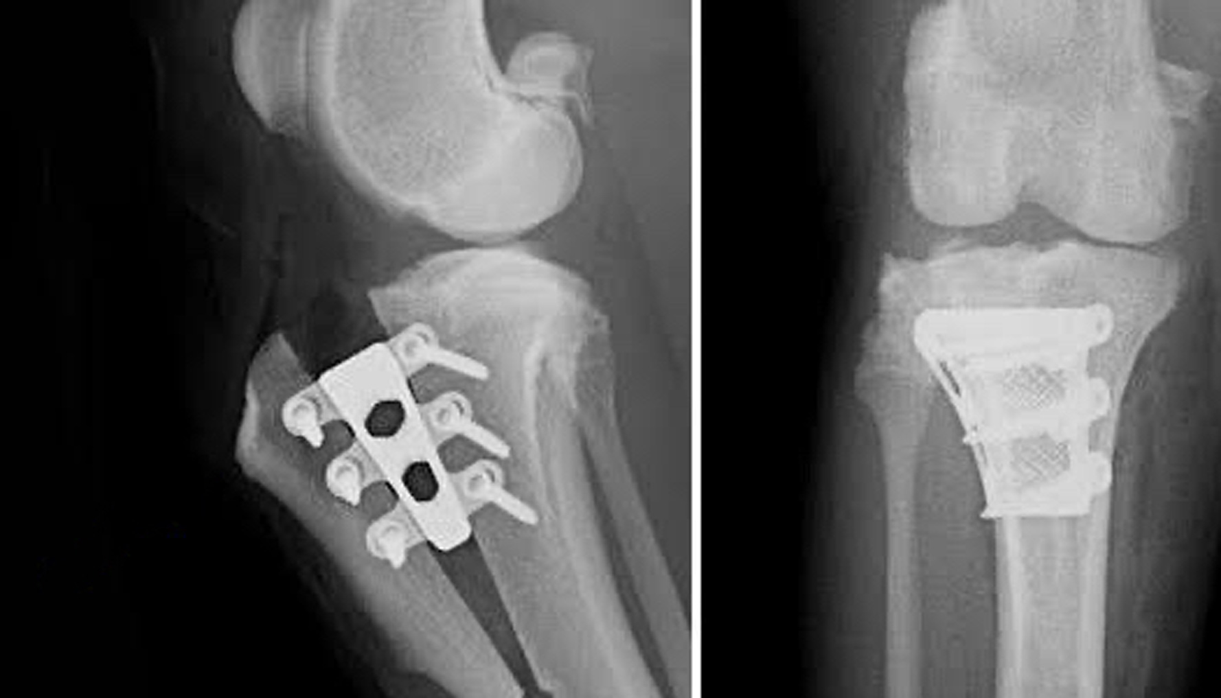
TTA

TTA is the abbreviation for Tibial Tuberosity Advancement. This a surgical procedure used to treat cranial (or anterior) cruciate ligament rupture in the knee joints (stifle) of dogs. It involves cutting the top of the shin bone (the tibia), moving it forward and stabilizing it in its new position.