Medical History Form

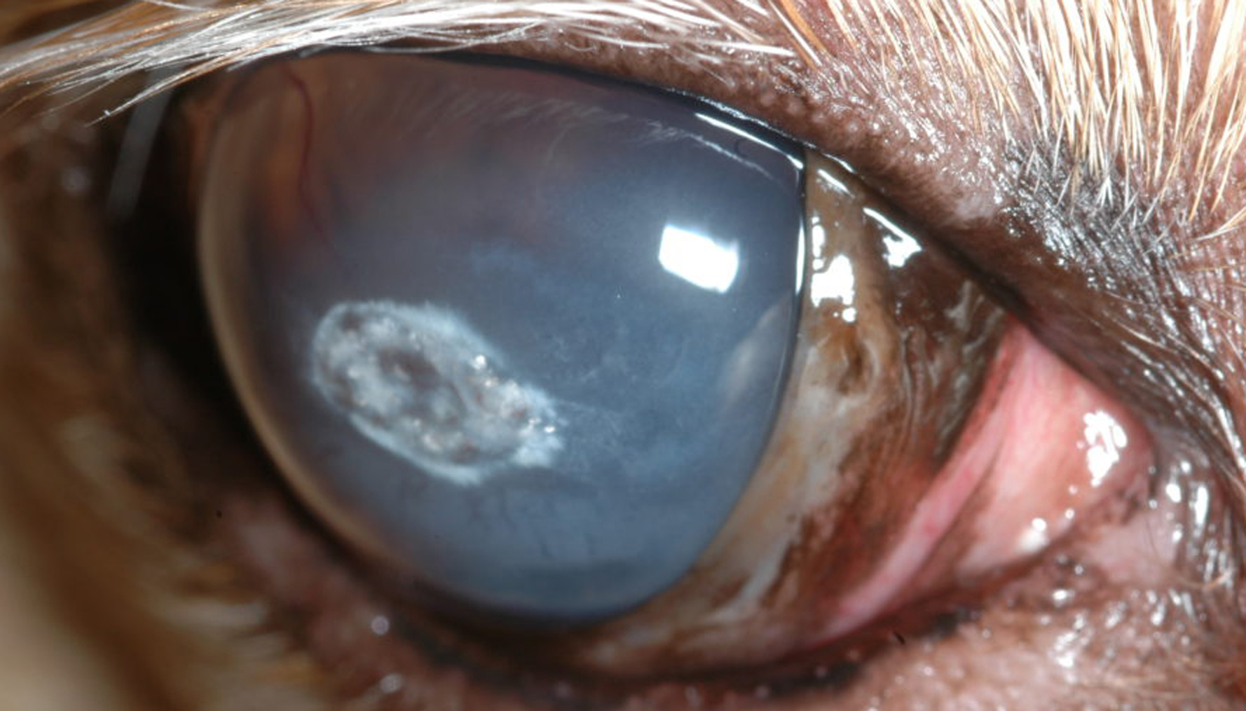
Corneal Sequestrum

Corneal sequestrum

Corneal sequestrum is a disease affecting the cornea (the clear curved transparent part of the front the eye). The sequestrum is usually an area of degenerated or non-living corneal tissue. This develops after an area of chronic corneal irritation or non-healing ulceration.